香川県高松市牟礼町で
マウスピース型矯正装置インビザライン・矯正治療なら

〒761-0121 香川県高松市牟礼町牟礼3-1
ことでん「大町駅」徒歩0分、JR高徳線「八栗口駅」より徒歩10分

診療時間
9:00〜13:00 × ×
15:00〜18:00 × ×

最終受付:17:15 休診日:木曜・日曜・祝日
祝日がある週の木曜日は、午前中のみ診療しております。
学会参加のため、休診日以外も
休診の場合があります。お電話でご確認ください。

ご予約・お問合せはこちらへ

087-845-3535

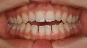
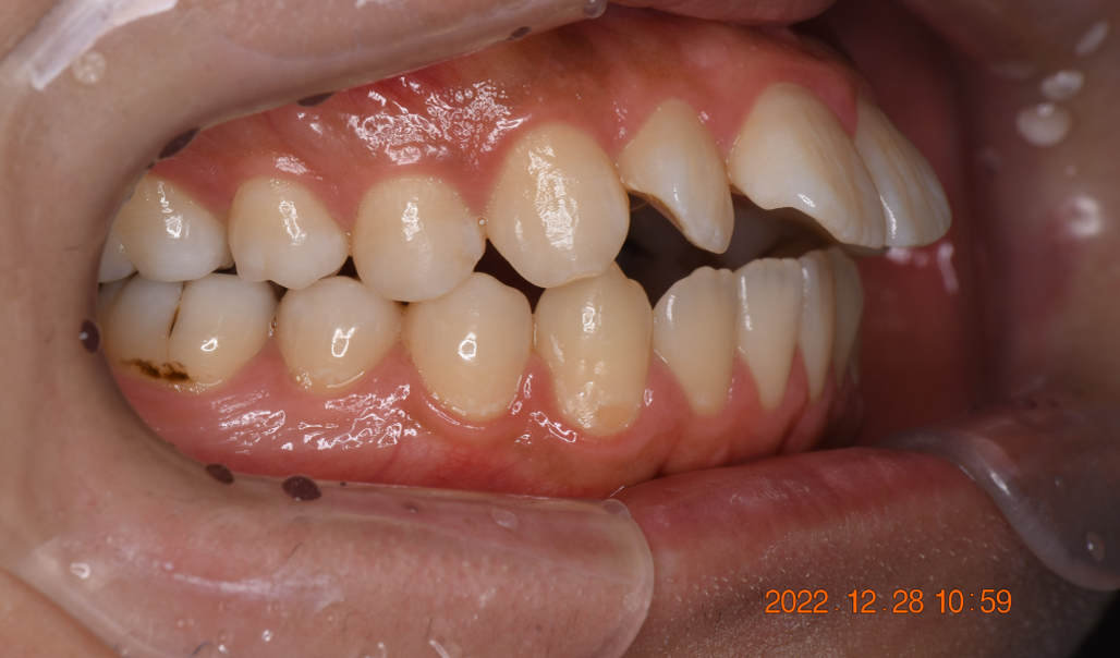
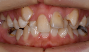
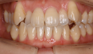
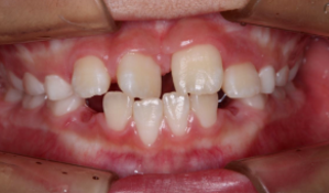
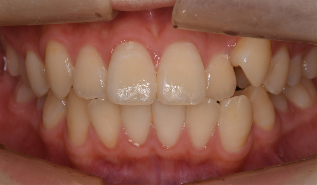
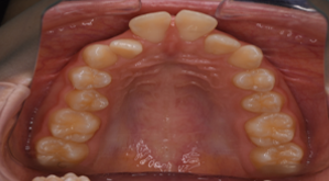
マウスピース型矯正装置(インビザライン)の症例

マウスピース型矯正装置(インビザライン)を使用した歯列矯正

上の歯だけ
すきっ歯/隙間
八重歯/ガチャ歯
ガタガタ(叢生)
少しのズレ/ねじれ
他院で断られた

当院では矯正歯科治療でお悩みの方へ矯正相談を行っています。お電話かご予約フォームよりお気軽にご連絡ください。

087-845-3535

診療時間

 
午前 × ×
午後 × ×

午前:9:00〜13:00
午後:15:00〜18:00(最終受付17:15)
※祝日がある週の木曜日は、午前中のみ診療しております。
休診日:木曜・日曜・祝日
学会参加のため、休診日以外も休診の場合があります。お電話でご確認ください。

087-845-3535

761-0121
香川県高松市牟礼町牟礼3-1

・ことでん「大町駅」前
・JR高徳線「八栗口駅」より徒歩10分