香川県高松市牟礼町で
マウスピース型矯正装置インビザライン・矯正治療なら

〒761-0121 香川県高松市牟礼町牟礼3-1
ことでん「大町駅」徒歩0分、JR高徳線「八栗口駅」より徒歩10分

診療時間
9:00〜13:00 × ×
15:00〜18:00 × ×

最終受付:17:15 休診日:木曜・日曜・祝日
祝日がある週の木曜日は、午前中のみ診療しております。
学会参加のため、休診日以外も
休診の場合があります。お電話でご確認ください。

ご予約・お問合せはこちらへ

087-845-3535

子どもの矯正装置の症例

子どもの歯列矯正(装置はお子さまにより異なります)

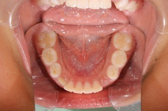
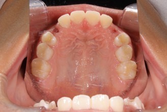
01:噛み合っていない(開口)の歯並びだった方

開口の矯正治療開始前
開口の矯正治療終了後
開口の治療後の保定(リテーナー)
症例・治療内容について
  • 主訴:前歯が噛み合わない
  • 診断あるいは主な症状:開口
  • 年齢:9歳(治療開始年齢)
  • 治療に用いた主な装置:マルチブラケットによる歯列矯正
  • 抜歯部位:なし
  • 治療期間:1期治療2年9ヶ月、2期治療1年3ヶ月
  • 通院回数:52回(矯正治療を目的とした来院)
  • 治療費概算:950,000円(税込)
    ​※料金改定前の場合、現在と金額が異なる場合があります
  • リスク副作用:
  • ・矯正治療で歯を動かすことで、歯に痛みや違和感や、頭痛・発熱が起こることがあります。個人差はありますが、3日から1週間でおさまっていきます。
    ・矯正装置が唇や舌、粘膜に擦れることで、口内炎ができたり、傷がつきやすくなったりすることが あります・矯正装置を装着すると、歯磨きが複雑になり、磨き残しが増える傾向にあります。不十分な清掃状態が続くことで、虫歯・歯肉炎・歯周病に罹患しやすくなるため、自己管理と定期 的なメンテナンスの受診が必要になります。
    ・顎間ゴムの使用や定期的な来院、その他の指導(MFT など)に対する協力が得られない場合、歯並びに影響がでるような習癖(頬杖や食事の際に片側のみで噛むなど)があると矯正治療が円滑に進行しないことがあります。
    ・矯正治療中には、咬み合わせや歯並びが随時変化します。それに伴い、咬み合わせや顎の関節に違和感や痛みがでたり、一時的に歯並びが以前より悪くなったりする場合があります。
    ・歯を動かすことで、歯根吸収(歯の根が溶けて短くなる)や歯の変色(神経の壊死)が起こることがあります。変色の原因はこの限りではありませんが、変色が軽度の場合には、矯正治療後のホワイトニングで改善できる可能性があります。
    ・歯を移動させた際に、ブラックトライアングル(歯と歯の間の三角形の隙間)や歯肉退縮が起こることがあります。そのような場合、ブラックトライアングル等の改善を目的とした歯の形態や大きさの修正を行うことがあります。
    ・必要に応じて、歯の形態の修正、咬み合わせの調整、歯の大きさの調整などを行う場合が あります。
    ・歯の根が曲がっている場合や骨性癒着(歯と骨がくっついている状態)が起こっていると、歯が動かないことがあります。また、小帯(唇や頬にあるヒダ)の付着位置が悪かったり、骨隆起(歯を支える骨が膨らみコブのような形態になっている状態)があると、歯の移動を阻害する可能性があるため、矯正治療中にこれらを除去する処置が必要になる場合が あります。
    ・接着型の矯正装置の場合、外れてしまうことがあります。外れてしまったときに、矯正装置を誤飲してしまう可能性がありますが、ほとんどの場合、自然に排泄されます。
    ・歯が動くスピード、治療の難易度、症例、使用する矯正装置によって治療期間が異なるため、目安として記載している治療期間や診断時にお伝えする予想治療期間が前後する可能 性があります。
    ・金属を使用する場合、矯正治療中に金属アレルギーの症状がでる場合があります。
    ・矯正治療終了時に矯正装置を外す際、歯に小さな亀裂や傷がついてしまう場合がありま す。
    ・矯正治療終了後、保定装置を指示通りに装着していただけない場合、後戻りが起こることがあります。後戻りが起こる要因はこれに限らず、様々な要素が原因となり起こることがあります。
    ・矯正治療前後に、被せ物治療をやり直す必要がある場合があります。(特に、マウスピース型矯正装置を用いた治療の場合には、治療途中に被せ物の形態が変化すると、マウスピー スが合わなくなるため、治療前の処置が必要です)
    ・顎の成長、加齢、親知らず、歯周病などの影響により歯並びが変化し、再治療が必要になる場合があります。

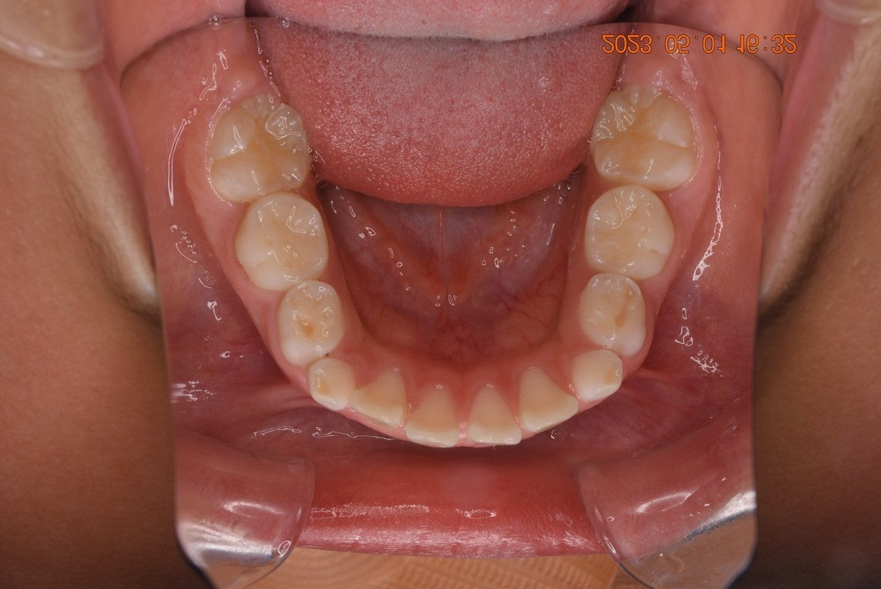
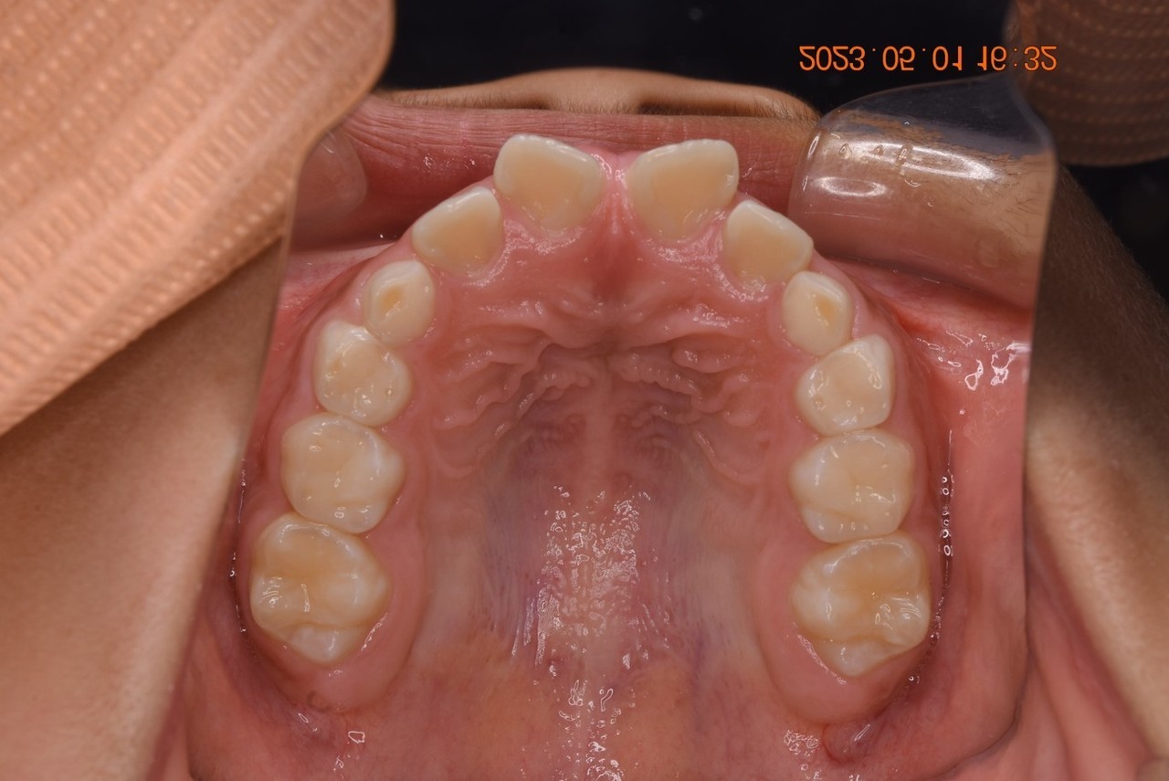
02:ガタガタの歯並びだった方

1期矯正治療の症例写真
1期矯正治療終了後の症例写真
第2大臼歯萌出完了
症例・治療内容について
  • 主訴:歯がガタガタで気になる
  • 診断あるいは主な症状:叢生
  • 年齢:12歳(治療開始年齢)
  • 治療に用いた主な装置:マルチブラケットによる歯列矯正(小児矯正)
  • 抜歯部位:なし
  • 治療期間:2年8ヶ月
  • 治療回数:35回(矯正治療を目的とした来院)
  • 治療費概算:932,000円(税込)
    ​※料金改定前の場合、現在と金額が異なる場合があります
  • リスク副作用:
  • ・矯正治療で歯を動かすことで、歯に痛みや違和感や、頭痛・発熱が起こることがあります。個人差はありますが、3日から1週間でおさまっていきます。
    ・矯正装置が唇や舌、粘膜に擦れることで、口内炎ができたり、傷がつきやすくなったりすることが あります・矯正装置を装着すると、歯磨きが複雑になり、磨き残しが増える傾向にあります。不十分な清掃状態が続くことで、虫歯・歯肉炎・歯周病に罹患しやすくなるため、自己管理と定期 的なメンテナンスの受診が必要になります。
    ・顎間ゴムの使用や定期的な来院、その他の指導(MFT など)に対する協力が得られない場合、歯並びに影響がでるような習癖(頬杖や食事の際に片側のみで噛むなど)があると矯正治療が円滑に進行しないことがあります。
    ・矯正治療中には、咬み合わせや歯並びが随時変化します。それに伴い、咬み合わせや顎の関節に違和感や痛みがでたり、一時的に歯並びが以前より悪くなったりする場合があります。
    ・歯を動かすことで、歯根吸収(歯の根が溶けて短くなる)や歯の変色(神経の壊死)が起こることがあります。変色の原因はこの限りではありませんが、変色が軽度の場合には、矯正治療後のホワイトニングで改善できる可能性があります。
    ・歯を移動させた際に、ブラックトライアングル(歯と歯の間の三角形の隙間)や歯肉退縮が起こることがあります。そのような場合、ブラックトライアングル等の改善を目的とした歯の形態や大きさの修正を行うことがあります。

    ・必要に応じて、歯の形態の修正、咬み合わせの調整、歯の大きさの調整などを行う場合が あります。
    ・歯の根が曲がっている場合や骨性癒着(歯と骨がくっついている状態)が起こっていると、歯が動かないことがあります。また、小帯(唇や頬にあるヒダ)の付着位置が悪かったり、骨隆起(歯を支える骨が膨らみコブのような形態になっている状態)があると、歯の移動を阻害する可能性があるため、矯正治療中にこれらを除去する処置が必要になる場合があります。
    ・接着型の矯正装置の場合、外れてしまうことがあります。外れてしまったときに、矯正装置を誤飲してしまう可能性がありますが、ほとんどの場合、自然に排泄されます。
    ・歯が動くスピード、治療の難易度、症例、使用する矯正装置によって治療期間が異なるため、目安として記載している治療期間や診断時にお伝えする予想治療期間が前後する可能 性があります。
    ・金属を使用する場合、矯正治療中に金属アレルギーの症状がでる場合があります。
    ・矯正治療終了時に矯正装置を外す際、歯に小さな亀裂や傷がついてしまう場合がありま す。
    ・矯正治療終了後、保定装置を指示通りに装着していただけない場合、後戻りが起こることがあります。後戻りが起こる要因はこれに限らず、様々な要素が原因となり起こることがあります。
    ・矯正治療前後に、被せ物治療をやり直す必要がある場合があります。(特に、マウスピース型矯正装置を用いた治療の場合には、治療途中に被せ物の形態が変化すると、マウスピー スが合わなくなるため、治療前の処置が必要です)
    ・顎の成長、加齢、親知らず、歯周病などの影響により歯並びが変化し、再治療が必要になる場合があります。

03:2番目の歯が奥に生えていた方

1期矯正治療の症例写真
1期矯正治療終了後の症例写真
第2大臼歯萌出完了
症例・治療内容について
  • 主訴:前から2番目の歯が後ろ側に生えている
  • 診断あるいは主な症状:叢生
  • 年齢:10歳(治療開始年齢)
  • 治療に用いた主な装置:マルチブラケットによる歯列矯正(小児矯正)
  • 抜歯部位:なし
  • 治療期間:2年8ヶ月
  • 治療回数:37回(矯正治療を目的とした来院)
  • 治療費概算:508,000円(税込)
    ※料金改定前の場合、現在と金額が異なる場合があります
  • リスク副作用:
    ・矯正治療で歯を動かすことで、歯に痛みや違和感や、頭痛・発熱が起こることがあります。個人差はありますが、3日から1週間でおさまっていきます。
    ・矯正装置が唇や舌、粘膜に擦れることで、口内炎ができたり、傷がつきやすくなったりすることが あります・矯正装置を装着すると、歯磨きが複雑になり、磨き残しが増える傾向にあります。不十分な清掃状態が続くことで、虫歯・歯肉炎・歯周病に罹患しやすくなるため、自己管理と定期 的なメンテナンスの受診が必要になります。
    ・顎間ゴムの使用や定期的な来院、その他の指導(MFT など)に対する協力が得られない場合、歯並びに影響がでるような習癖(頬杖や食事の際に片側のみで噛むなど)があると矯正治療が円滑に進行しないことがあります。
    ・矯正治療中には、咬み合わせや歯並びが随時変化します。それに伴い、咬み合わせや顎の関節に違和感や痛みがでたり、一時的に歯並びが以前より悪くなったりする場合があります。
    ・歯を動かすことで、歯根吸収(歯の根が溶けて短くなる)や歯の変色(神経の壊死)が起こることがあります。変色の原因はこの限りではありませんが、変色が軽度の場合には、矯正治療後のホワイトニングで改善できる可能性があります。
    ・歯を移動させた際に、ブラックトライアングル(歯と歯の間の三角形の隙間)や歯肉退縮が起こることがあります。そのような場合、ブラックトライアングル等の改善を目的とした歯の形態や大きさの修正を行うことがあります。
    ・必要に応じて、歯の形態の修正、咬み合わせの調整、歯の大きさの調整などを行う場合が あります。
    ・歯の根が曲がっている場合や骨性癒着(歯と骨がくっついている状態)が起こっていると、歯が動かないことがあります。また、小帯(唇や頬にあるヒダ)の付着位置が悪かったり、骨隆起(歯を支える骨が膨らみコブのような形態になっている状態)があると、歯の移動を阻害する可能性があるため、矯正治療中にこれらを除去する処置が必要になる場合があります。
    ・接着型の矯正装置の場合、外れてしまうことがあります。外れてしまったときに、矯正装置を誤飲してしまう可能性がありますが、ほとんどの場合、自然に排泄されます。
    ・歯が動くスピード、治療の難易度、症例、使用する矯正装置によって治療期間が異なるため、目安として記載している治療期間や診断時にお伝えする予想治療期間が前後する可能 性があります。
    ・金属を使用する場合、矯正治療中に金属アレルギーの症状がでる場合があります。
    ・矯正治療終了時に矯正装置を外す際、歯に小さな亀裂や傷がついてしまう場合がありま す。
    ・矯正治療終了後、保定装置を指示通りに装着していただけない場合、後戻りが起こることがあります。後戻りが起こる要因はこれに限らず、様々な要素が原因となり起こることがあります。
    ・矯正治療前後に、被せ物治療をやり直す必要がある場合があります。(特に、マウスピース型矯正装置を用いた治療の場合には、治療途中に被せ物の形態が変化すると、マウスピー スが合わなくなるため、治療前の処置が必要です)
    ・顎の成長、加齢、親知らず、歯周病などの影響により歯並びが変化し、再治療が必要になる場合があります。

03:2番目の歯が奥に生えていた方

1期矯正治療の症例写真
1期矯正治療終了後の症例写真
第2大臼歯萌出完了
1期矯正治療の症例写真
1期矯正治療終了後の症例写真
第2大臼歯萌出完了
症例・治療内容について
  • 主訴:前から2番目の歯が後ろ側に生えている
  • 診断あるいは主な症状:叢生
  • 年齢:10歳(治療開始年齢)
  • 治療に用いた主な装置:マルチブラケットによる歯列矯正(小児矯正)
  • 抜歯部位:なし
  • 治療期間:1年3ヶ月
  • 治療回数:17回(矯正治療を目的とした来院)
  • 治療費概算:508,000円(税込)
    ※料金改定前の場合、現在と金額が異なる場合があります
  • リスク副作用:
    ・矯正治療で歯を動かすことで、歯に痛みや違和感や、頭痛・発熱が起こることがあります。個人差はありますが、3日から1週間でおさまっていきます。
    ・矯正装置が唇や舌、粘膜に擦れることで、口内炎ができたり、傷がつきやすくなったりすることが あります・矯正装置を装着すると、歯磨きが複雑になり、磨き残しが増える傾向にあります。不十分な清掃状態が続くことで、虫歯・歯肉炎・歯周病に罹患しやすくなるため、自己管理と定期 的なメンテナンスの受診が必要になります。
    ・顎間ゴムの使用や定期的な来院、その他の指導(MFT など)に対する協力が得られない場合、歯並びに影響がでるような習癖(頬杖や食事の際に片側のみで噛むなど)があると矯正治療が円滑に進行しないことがあります。
    ・矯正治療中には、咬み合わせや歯並びが随時変化します。それに伴い、咬み合わせや顎の関節に違和感や痛みがでたり、一時的に歯並びが以前より悪くなったりする場合があります。
    ・歯を動かすことで、歯根吸収(歯の根が溶けて短くなる)や歯の変色(神経の壊死)が起こることがあります。変色の原因はこの限りではありませんが、変色が軽度の場合には、矯正治療後のホワイトニングで改善できる可能性があります。
    ・歯を移動させた際に、ブラックトライアングル(歯と歯の間の三角形の隙間)や歯肉退縮が起こることがあります。そのような場合、ブラックトライアングル等の改善を目的とした歯の形態や大きさの修正を行うことがあります。
    ・必要に応じて、歯の形態の修正、咬み合わせの調整、歯の大きさの調整などを行う場合が あります。
    ・歯の根が曲がっている場合や骨性癒着(歯と骨がくっついている状態)が起こっていると、歯が動かないことがあります。また、小帯(唇や頬にあるヒダ)の付着位置が悪かったり、骨隆起(歯を支える骨が膨らみコブのような形態になっている状態)があると、歯の移動を阻害する可能性があるため、矯正治療中にこれらを除去する処置が必要になる場合があります。
    ・接着型の矯正装置の場合、外れてしまうことがあります。外れてしまったときに、矯正装置を誤飲してしまう可能性がありますが、ほとんどの場合、自然に排泄されます。
    ・歯が動くスピード、治療の難易度、症例、使用する矯正装置によって治療期間が異なるため、目安として記載している治療期間や診断時にお伝えする予想治療期間が前後する可能 性があります。
    ・金属を使用する場合、矯正治療中に金属アレルギーの症状がでる場合があります。
    ・矯正治療終了時に矯正装置を外す際、歯に小さな亀裂や傷がついてしまう場合がありま す。
    ・矯正治療終了後、保定装置を指示通りに装着していただけない場合、後戻りが起こることがあります。後戻りが起こる要因はこれに限らず、様々な要素が原因となり起こることがあります。
    ・矯正治療前後に、被せ物治療をやり直す必要がある場合があります。(特に、マウスピース型矯正装置を用いた治療の場合には、治療途中に被せ物の形態が変化すると、マウスピー スが合わなくなるため、治療前の処置が必要です)
    ・顎の成長、加齢、親知らず、歯周病などの影響により歯並びが変化し、再治療が必要になる場合があります。

当院では矯正歯科治療でお悩みの方へ矯正相談を行っています。お電話かご予約フォームよりお気軽にご連絡ください。

087-845-3535

診療時間

 
午前 × ×
午後 × ×

午前:9:00〜13:00
午後:15:00〜18:00(最終受付17:15)
※祝日がある週の木曜日は、午前中のみ診療しております。
休診日:木曜・日曜・祝日
学会参加のため、休診日以外も休診の場合があります。お電話でご確認ください。

087-845-3535

761-0121
香川県高松市牟礼町牟礼3-1

・ことでん「大町駅」前
・JR高徳線「八栗口駅」より徒歩10分